7500+ Artikel ab Lager lieferbar
Ihr Partner für die Astronomie
Mikroskopie > Mikroskope > Inverse Mikroskope > Evident Olympus > CKX53 > Evident Olympus Inverses Mikroskop Olympus CKX53 IPC/IVC V1, PH, trino, infinity, achro, 10x, 20x, 40x, LED
Artikel-Nr.: 49703

Inverses Mikroskop Olympus CKX53 IPC/IVC V1, PH, trino, infinity, achro, 10x, 20x, 40x, LED

kurzfristig
versandfertig in 3-5 Wochen + Laufzeit

Artikelbeschreibung

Mehr über die Serie CKX53...

CKX53 Phasenkontrast V1 (E07MIS0042)

Manuelles inverses Mikroskopstativ mit Sehlfeldzahl 22 und integriertem 45°-Trinokulartubus

  • 4-facher Objektivrevolver
  • großer Plantisch (200mm x 252mm)
  • Tischerweiterungsplatte
  • abnehmbarer/drehbarer Kondensor
  • langer Arbeitsabstand (NA 0,3, WD 72 mm, manuelle Aperturblende), max. WD 194 mm (Kondensor entfernt)
  • koaxialer Grob- und Feintrieb
  • LED Lampenhaus (20.000 h Lebensdauer)
  • transparente Acryl-Tischeinlageplatte
  • Phasenkontrastschieber (CKX3-SLP)
  • Ringblende für Inversion Kontrast (IVC)
  • Passend mit CACHN10xIPC/0,25 Objektiven

Highlights:

Integrierter Phasenkontrast (IPC)

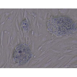
Schnelle und effiziente Zellbeobachtung mit dem integrierten Phasenkontrastsystem (iPC).

Der hohe Kontrast des iPC-Systems des CKX53 ermöglicht eine klare Sicht auf Zellen bei 4x, 10x, 20x und 40x, ohne dass der Benutzer den Ringspalt austauschen oder neu zentrieren muss. Das neue Phasenkontrastsystem ermöglicht eine einfache und effiziente Zellbeobachtung für einen schnelleren und komfortableren Arbeitsablauf.

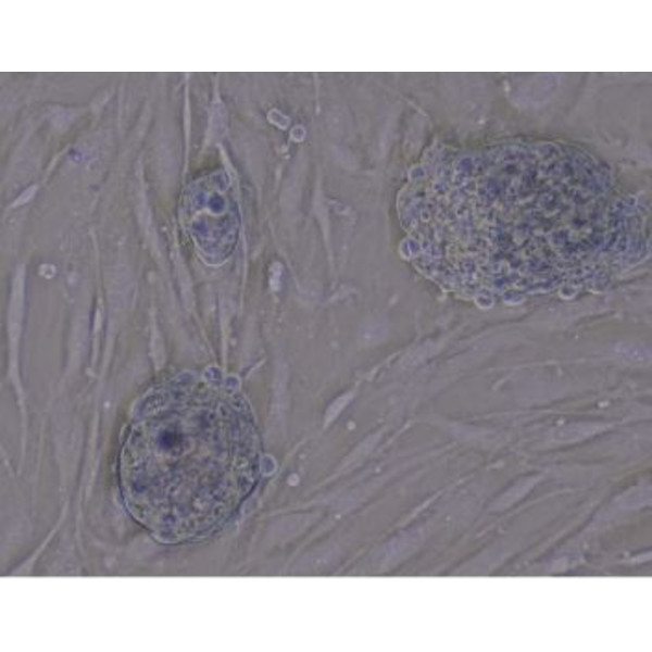
Inversionskontrast (IVC)

Erleben Sie 3D-Ansichten mit der Inversionskontrasttechnik (IVC).

Bei dieser neu entwickelten IVC-Technik ist die Schärfentiefe geringer als beim Phasenkontrast, wodurch klare dreidimensionale Bilder von Objekten jeglicher Form oder Transparenz möglich sind. Darüber hinaus liefert die IVC-Beobachtung klare Ansichten ohne Halos oder gerichtete Schatten, wodurch die Integrität der Objektdetails während der Beobachtung erhalten bleibt. Für diese neue IVC-Beobachtung werden 10X-Objektive (PLCN10X, CACHN10XIPC) verwendet.

Enthaltene Komponenten:

  1. Mikroskopstativ CKX53SF-1-3 (N5731900)
  2. Achromat-Phasenkontrastobjektiv CACHN10xIPC-1-7 (N5731900)
  3. C Achromat Phasenkontrast Objektiv LCACHN20xIPC (N5229300)
  4. C Achromat Phasenkontrast Objektiv LCACHN40xIPC (N5229400)
  5. manueller Kondensor-Einschub CKX3-SLP (N5228500)
  6. Ringblende CKX3-SLPIC (N5228600)
  7. 2x Tischerweiterungsplatte CK2-SS (030362)
  8. Stromkabel UYCP (035425)
  9. Staubschutzhülle für CKX53/41/31 (N1153000)

Technische Daten

Optik


Abbildungsmaßstab (-fach)
10x 20x, 40x
Anzahl der Objektive
3
Beleuchtung
Durchlicht
Bildfeldebnung
plan
Farbkorrektur
apochromatisch
Kondensor
drehbar
Lampentyp
LED (4 W)
Objektiv 1
CACHN10xIPC
Objektiv 2
LCACHN20xIPC
Objektiv 3
LCACHN40xIPC
Unendlich korrigiert
ja
Vergrößerung (-fach)
100x, 200x, 400x

Leistung


Lampentyp
LED
Farbtemperatur (K)
4000
Phasenkontrast
ja (IPC- (integrierte Phasenkontrast)-Objektive)
DIC, IVC, RC
ja
Hellfeld
ja
Kontrastverfahren
DIC

Mechanik


Bauart
Trinokular
Einblick (°)
45° Schrägeinblcik
Fokussierung
Grob- und Feintrieb
Objekttisch
Objekttisch (252x 200 mm (180 x 70mm))
Revolver (-fach)
4

Besonderheiten


Leuchtfeldblende
ja
Weitfeld-Okular
ja (10x/22mm Weitfeld)

Allgemein


Breite (mm)
200
Länge (mm)
498
Höhe (mm)
454
Serie
CKX53
Gewicht (g)
6,9

Fachgebiete


Medizin
ja
Unterricht
ja

Anwendungsgebiete


Universität
ja

Sonstiges


Lieferanten Produktnummer
E0460042 (E07MIS0042)

Produktsicherheit

Hersteller: Evident Europe GmbH, Caffamacherreihe 8–10, 20355 Hamburg, DE, https://www.evidentscientific.com/

Empfohlenes Zubehör

Mikroskopie > Mikroskopie-Zubehör (22)

Evident Olympus PLN2X/0.06 Plan Achromat Objektiv

$ 1.100,-*
Mikroskopie > Sonstiges (1)

Bresser Immersionsöl 5ml nD=1.515

$ 18,90*
Grundpreis: $ 3.780,-/L
Medien (1)

Kosmos Verlag Das große Kosmos-Buch der Mikroskopie

$ 51,-*
Pflege & Reinigung > Reinigungsmittel (4)

Zoomion Reinigungssystem

$ 1,90*
Pflege & Reinigung > Sonstiges (2)

Omegon Microfaser Reinigungstuch 20cm x 20cm

$ 6,90*

*Alle Preise inklusive der gesetzlichen Mehrwertsteuer, zzgl. Versandkosten.

Evident Olympus Inverses Mikroskop Olympus CKX53 IPC/IVC V1, PH, trino, infinity, achro, 10x, 20x, 40x, LED

Schnelle und effiziente Zellbeobachtung mit dem integrierten Phasenkontrastsystem (IPC)

Evident Olympus Inverses Mikroskop Olympus CKX53 IPC/IVC V1, PH, trino, infinity, achro, 10x, 20x, 40x, LED
Inversionskontrast (IVC)
Evident Olympus Inverses Mikroskop Olympus CKX53 IPC/IVC V1, PH, trino, infinity, achro, 10x, 20x, 40x, LED
PH: Referenz: Y. Suzuki et al., Method for observing phase objects without halos or directional shadows.
Evident Olympus Inverses Mikroskop Olympus CKX53 IPC/IVC V1, PH, trino, infinity, achro, 10x, 20x, 40x, LED
Einfache Handhabung von Zellkulturbehältern jeder Art

Kundenmeinungen

Es gibt noch keine Kundenrezension für dieses Produkt.

Schreiben Sie Ihre eigene Rezension

Haben Sie spezifische Fragen zu Ihrer Bestellung oder Ihrem Produkt? Bitte wenden Sie sich hierzu an unseren Kundenservice!